Cosmetic Dental Treatments – Before & After Results

Cosmetic Treatment Success Stories

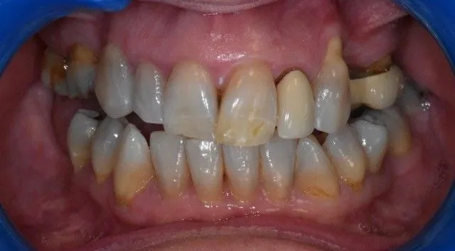
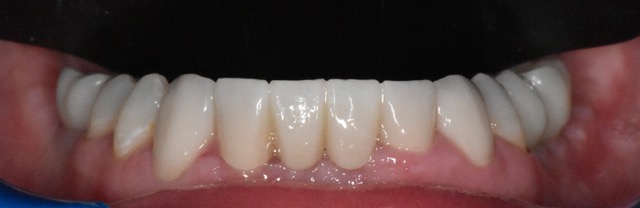
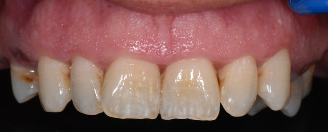
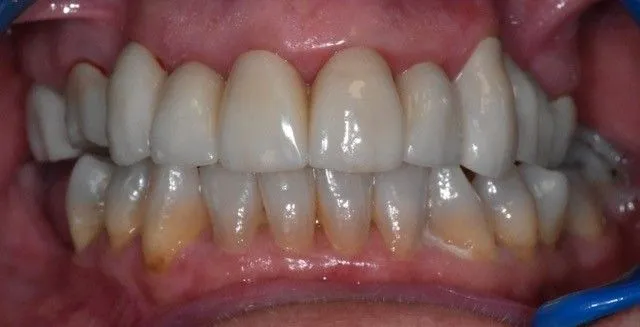
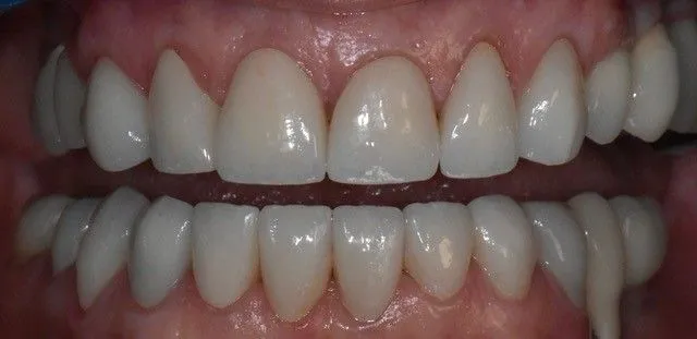
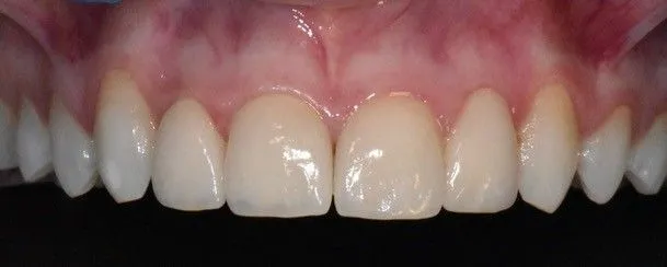
Cosmetic Dentistry Results for Patients Across Hitchin, Stotfold & Shefford

Real patient results from cosmetic dental treatments at Stotfold Dental Clinic.
Explore before and after cases showcasing smile enhancements using modern cosmetic techniques, carefully tailored to achieve natural, confident results.

Google Rating

5.0

Stotfold Welcome

Cosmetic Dentistry Before & After Gallery

What our patients say

Honest feedback from patients across Stotfold, Shefford and Melbourn.

Take the first step towards a confident smile

Whether you’re exploring cosmetic dentistry or looking for a new dentist, our team is here to help. Book an appointment today and feel confident about your dental care.

Take the first step towards a confident smile

Whether you’re exploring cosmetic dentistry or looking for a new dentist, our team is here to help. Book an appointment today and feel confident about your dental care.

Meet the team

Our friendly dental team brings extensive experience and a genuine passion for patient care. We focus on making every visit comfortable, informative and tailored to your individual needs.

All our dentists are registered with the General Dental Council (GDC) and adhere to the standards governing the profession as set out in the GDC’s Standards for the Dental Team.

For concerns about a dental professional’s fitness to practise, contact the General Dental Council at www.gdc-uk.org.

Step inside our clinic

5 The Avenue Hitchin, SG5 4LY

Contact us

Phone
Address

5 The Avenue, Hitchin, Hertfordshire SG5 4LY

Opening times
Monday to Friday

8am – 5pm

Closed for lunch between 1:00pm - 2:00pm
Saturday and Sunday: Closed
social media

Your Questions Answered

Clear, honest answers to help you feel confident about your visit.

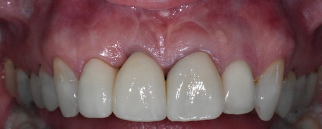
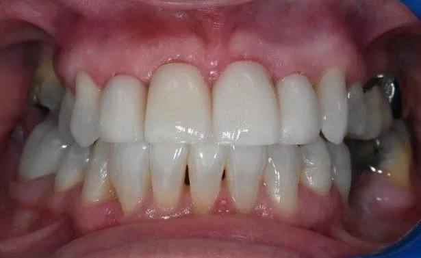
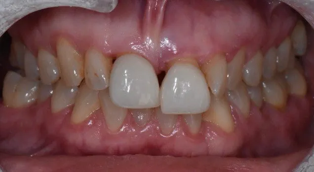
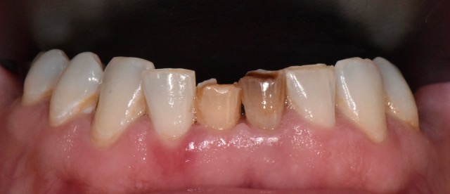
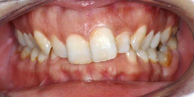
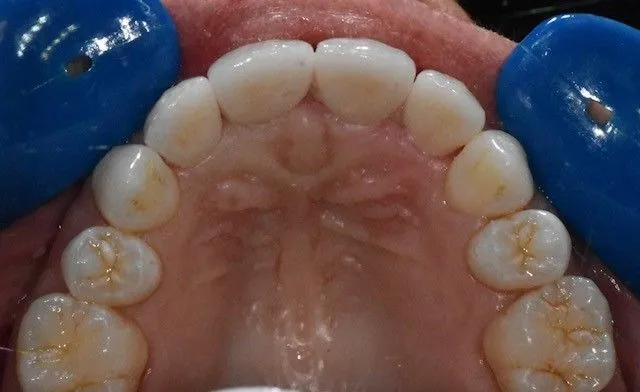
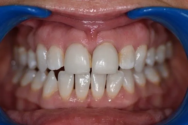
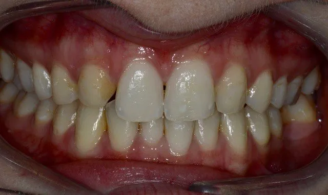
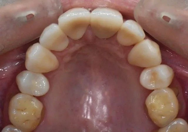
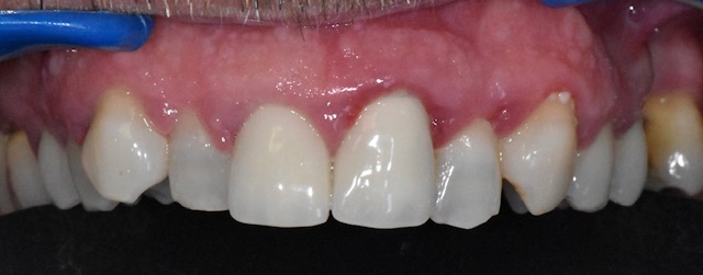
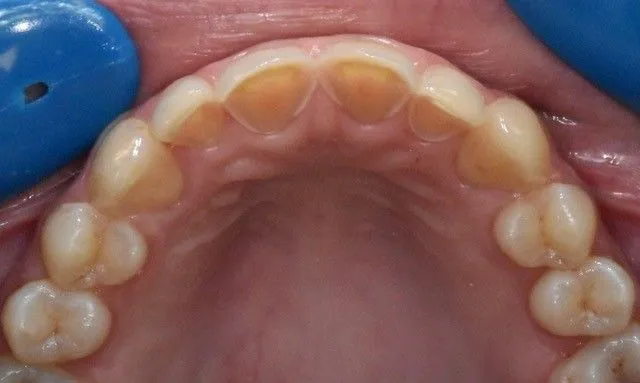
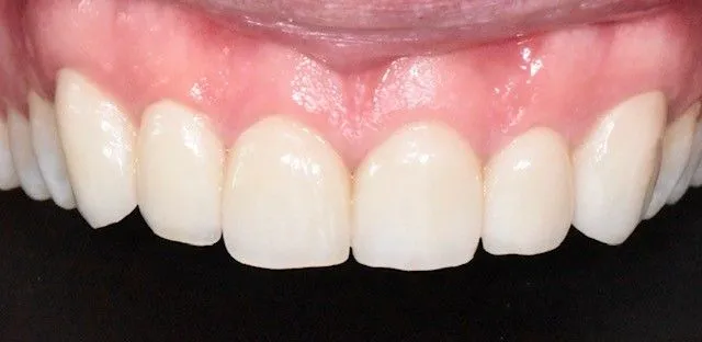
This gallery includes a range of cosmetic treatments such as veneers, composite bonding, smile makeovers and other aesthetic dental procedures designed to improve the appearance of teeth.

Yes. All before and after images show genuine cases carried out by our experienced dental team. Results shown are individual to each patient.

Treatment times vary depending on the procedure. Some cosmetic treatments can be completed in a single visit, while others may take place over several appointments.

Yes. Cosmetic treatments are carefully planned to enhance your smile while maintaining a natural appearance that suits your facial features and teeth.

Make an Enquiry
circle arrow