Cosmetic Treatments

Teeth Whitening

Dentist-supervised in-practice and home whitening

If you’re looking to safely brighten your smile, professional teeth whitening offers a fast, effective solution for stained or discoloured teeth. At Stotfold Dental Clinic, we provide dentist-supervised home whitening treatments tailored to your teeth, helping you achieve natural-looking results with minimal sensitivity.

Google Rating

5.0

Cosmetic Dentist in Stotfold, Shefford & Melbourn

Teeth whitening is a safe, clinically supervised cosmetic dental treatment used to reduce staining and discolouration. Our experienced cosmetic dentists use approved whitening agents to lighten the natural shade of your teeth without altering or removing tooth structure. Common causes of tooth discolouration include food and drink such as tea, coffee and red wine, smoking or tobacco use, natural ageing, and both extrinsic (surface) and intrinsic (internal) staining.

We offer take-home whitening kits, recommended following a clinical assessment by our dentist to ensure suitability and support your oral health, with a free 20-minute consultation available.

Following a clinical assessment, we may recommend teeth whitening if you:

  • Have stained or discoloured teeth
  • Want to improve your smile appearance
  • Are looking for a non-invasive cosmetic treatment
  • Have healthy teeth and gums suitable for whitening

We will assess your oral health and tooth condition to confirm whether whitening is appropriate and discuss expected results.

Teeth whitening is most effective on surface staining and natural tooth discolouration. Some types of intrinsic staining or existing dental restorations such as crowns or fillings may not respond in the same way. We will assess the cause of discolouration and advise on expected results.

Results vary depending on your natural tooth shade, level of staining and type of discolouration. Teeth whitening is intended to enhance the brightness of your smile, rather than create an unnatural appearance. We will discuss realistic expectations during your clinical assessment.

Regulated & Accredited Care

Flexible Payment Options

Professional Teeth Whitening Treatments

We provide professional whitening treatments across our clinics, with options tailored to your preferences and lifestyle.

Home Teeth Whitening

Our home whitening system uses custom-made, dentist-prescribed whitening trays and professional whitening gel, allowing you to gradually whiten your teeth at home under dental supervision.

In-Practice Whitening

In some cases, whitening may be carried out in the clinic, using clinically approved systems under the supervision of a dentist.

Whitening Top-Ups

Refills are available for patients who have previously completed whitening treatment, helping to maintain results over time.

Our Teeth Whitening Process

Consultation

We assess your oral health, teeth and suitability for whitening, and discuss your goals and expectations.

Stotfold Welcome

Personalised Plan

Your dentist will recommend the most suitable whitening approach for your teeth and explain the process, expected results, and how to minimise sensitivity.

Whitening & Aftercare

Your whitening treatment is carried out using clinically approved systems, followed by clear aftercare advice to help maintain your results.

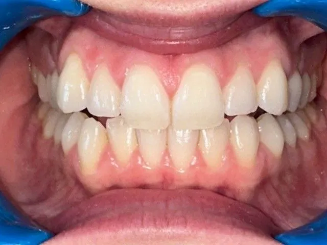
Teeth Whitening Before & After Results

These teeth whitening before and after results show the dramatic difference colour can make to your smile.

Teeth Whitening Packages & Pricing

Whitening Consultation

A dentist-led assessment to confirm suitability and plan your whitening treatment

Free 20 minute consultation
Home Teeth Whitening

A complete dentist-supervised home whitening treatment tailored to your teeth.

Price: From £400
Refills & Maintenance

Simple top-up treatments to help maintain your whitening results over time.

Price: £45 per refill

Why Choose Our Clinic

Safe, professional home whitening designed to deliver natural results with expert guidance.

Dentist-Supervised

Prescribed and overseen by a qualified dentist to ensure safe, effective whitening.

Custom-Made Trays

Bespoke trays ensure even whitening while helping reduce irritation and sensitivity.

Natural Results

Gradual whitening gives you control over the final shade of your smile.

Whiten at Home

Achieve professional results at home, without repeated clinic visits.

Patient Reviews

Honest feedback from patients across Stotfold, Shefford and Melbourn.

Dentist-Supervised Teeth Whitening

We provide dentist-supervised teeth whitening, ensuring treatment is safe, suitable and tailored to your oral health, with a focus on achieving a natural-looking result.

Meet The Team

Our friendly dental team brings extensive experience and a genuine passion for patient care. We focus on making every visit comfortable, informative and tailored to your individual needs.

All our dentists are registered with the General Dental Council (GDC) and adhere to the standards governing the profession as set out in the GDC’s Standards for the Dental Team.

For concerns about a dental professional’s fitness to practise, contact the General Dental Council at www.gdc-uk.org.

Teeth Whitening Across All Three Clinics

If you are looking to improve the appearance of your smile, teeth whitening may be a suitable option.  Our clinics are accessible to patients across Bedfordshire, Cambridgeshire and surrounding Hertfordshire areas.

Stotfold-023
Shefford-194
Screenshot

Book Your Appointment

Your Questions Answered

Clear, honest answers to help you feel confident about your visit.

The longevity of teeth whitening results depends on your lifestyle and oral hygiene habits. Factors such as smoking or regular consumption of staining foods and drinks can affect how long the results last. We may recommend top-up whitening treatments to help maintain your desired shade over time.

Some patients may notice temporary tooth sensitivity during or after whitening treatment. This is usually mild and settles shortly after treatment. We will provide advice on how to manage sensitivity and recommend appropriate products if required.

Teeth whitening works on natural tooth structure only and does not alter the colour of existing restorations such as crowns, veneers or fillings. We will assess your teeth and explain how this may influence your overall result.

Yes, teeth whitening can be included as part of a broader cosmetic or restorative treatment plan, depending on your goals. We will assess your oral health and smile objectives and recommend the most appropriate approach.

Home teeth whitening is completed over a period of time using custom trays and professional whitening gel. The duration will vary depending on your starting shade and the result you would like to achieve. We will outline your treatment timeline during your consultation.

Visit a Clinic Near You

Visit our clinic for professional teeth whitening, with a careful assessment and tailored treatment to suit your needs.

Stotfold Dental Clinic

Phone
Opening times
Monday to Friday
8am – 5pm
Closed for lunch between 1:00pm - 2:00pm
Saturday and Sunday: Closed
social media

Shefford Dental Clinic

Phone
Opening times
Monday to Wednesday
8am – 8pm
Tuesdays and Thursdays: 9am – 6pm
(Closed for lunch between 1:30pm and 2:30pm on these days)
Fridays: 9am – 4pm
(Closed for lunch: 1:30pm – 2pm)
social media

Melbourn Dental Clinic

Phone
Opening times
Monday to Friday
9am – 6pm
Closed for lunch 1:00pm-2:00pm daily
Closed Saturdays and Sundays
social media

Book online

Securely book your appointment online at a time that suits you.

Have a question?

Our team will be happy to help.

Make an Enquiry
circle arrow