Teeth Straightening

Invisalign® Clear Aligners

Straighten your teeth discreetly with clear Invisalign aligners

At Stotfold Dental Clinic, we provide dentist-led Invisalign treatment across Stotfold, Shefford and Melbourn to help straighten teeth using clear, removable aligners, ideal for patients looking for a more discreet alternative to fixed braces.

Google Rating

5.0

Invisalign

Invisalign® in Stotfold, Shefford & Melbourn

Invisalign is a clear aligner system we use to straighten teeth using a series of custom-made, removable aligners. Each aligner is designed to gently move your teeth into position over time, without the need for fixed braces or metal wires.

We plan your treatment using advanced 3D digital technology, allowing us to map your tooth movement and show expected results before treatment begins.

As a modern orthodontic treatment, Invisalign is designed to improve alignment, bite and spacing, while fitting comfortably into your everyday routine. A free 20-minute consultation is available to discuss your suitability and treatment options.

Invisalign may be suitable following a clinical assessment, depending on your tooth position, bite and overall oral health. It is commonly used to treat crowding, spacing and mild to moderate orthodontic concerns, including issues such as an overbite, underbite or relapse after previous treatment.

Suitability will depend on the complexity of tooth movement required, as well as your ability to wear aligners as advised. We will assess your teeth and discuss whether Invisalign is the most appropriate orthodontic treatment, or if alternative options may better support your long-term alignment and oral health.

The duration of Invisalign treatment varies depending on the complexity of tooth movement and your treatment plan. Many cases are completed over several months, with aligners changed regularly to achieve gradual and controlled results. We will outline your treatment timeline during your consultation.

Invisalign is a suitable alternative to fixed braces for many patients, particularly for crowding, spacing and mild to moderate bite concerns. It uses clear, removable aligners to gradually move teeth into position, offering a more discreet option while still achieving effective orthodontic results.

Regulated & Accredited Care

Flexible Payment Options

What to Expect with Invisalign Treatment

Invisalign treatment is designed to be precise, gradual and controlled, with each stage planned in advance.

Consultation and Smile Assessment

We assess your teeth, bite and oral health, and discuss your smile goals to confirm suitability.

Digital Scan and Treatment Planning

A 3D digital scan is taken to create a personalised plan, showing how your teeth will move and the expected outcome.

Aligners and Progress Reviews

You will wear a series of clear aligners, changing them every 1 to 2 weeks to gradually move your teeth into position, with regular reviews to monitor progress.

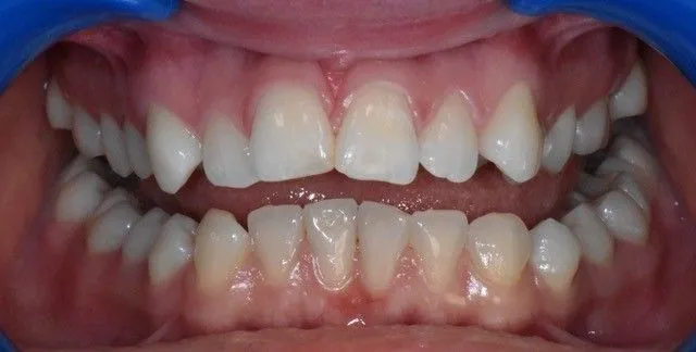
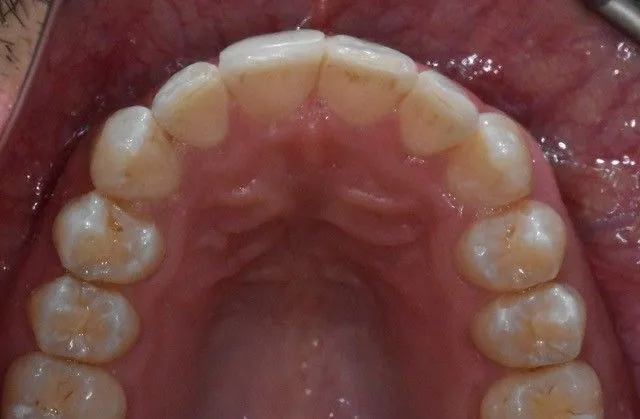
Invisalign Before & After Results

Real before and after results from Invisalign treatment at Stotfold Dental Clinic, showing how clear aligners can straighten teeth, improve alignment and enhance smiles discreetly.

Why Choose Our Clinic

Clear aligner treatment designed to straighten your teeth discreetly, comfortably and with predictable, long-term results.

Dentist-Supervised

Planned and monitored by experienced dentists from start to finish.

Custom-Made Aligners

Individually designed aligners for precise, controlled tooth movement.

Natural Results

Straightens teeth while maintaining a balanced, natural smile.

Discreet Treatment

Clear, removable aligners with no brackets or wires.

Our Invisalign Process

Consultation

During your consultation, you’ll meet with our Invisalign provider to assess your teeth, discuss your smile goals, and confirm whether Invisalign is the most suitable option for straightening your teeth.

Stotfold Welcome

Personalised Plan

We use 3D digital scanning to create a tailored Invisalign plan, showing how your teeth will move and expected results.

Aligners & Aftercare

Your clear aligners are worn as advised, with regular reviews and aftercare support, including retainers to maintain your results.

Patient Reviews

Honest feedback from patients across Stotfold, Shefford and Melbourn.

Discreet Teeth Straightening

Invisalign treatment provided by our dentists, planned to support natural alignment and a comfortable bite, with a free 20-minute consultation available.

Meet The Team

Our friendly dental team brings extensive experience and a genuine passion for patient care. We focus on making every visit comfortable, informative and tailored to your individual needs.

All our dentists are registered with the General Dental Council (GDC) and adhere to the standards governing the profession as set out in the GDC’s Standards for the Dental Team.

For concerns about a dental professional’s fitness to practise, contact the General Dental Council at www.gdc-uk.org.

Invisalign® Treatment Across All Three Clinics

If you are considering straightening your teeth, Invisalign may be a suitable option. Book your consultation at one of our clinics serving Bedfordshire, Cambridgeshire and surrounding Hertfordshire areas.

Stotfold-023
Shefford-194
Screenshot

Book Your Appointment

Your Questions Answered

Clear, honest answers to help you feel confident about your visit.

The cost of Invisalign depends on your individual treatment plan, complexity of tooth movement and whether one or both arches are treated. Following a clinical assessment, we will provide a clear and personalised breakdown of your treatment costs.

Our Invisalign fees include:

  • Single arch treatment – from ÂŁ2,999
  • Double arch treatment – from ÂŁ3,899
  • Fixed wire retainer – from ÂŁ375 per arch
  • Essix retainer – from ÂŁ275 per arch
  • Vivera retainers (set of 3) – ÂŁ499
  • Reshaping and contouring of tooth edges – ÂŁ50 per tooth

The final cost will depend on your alignment needs, bite correction and treatment duration. We will explain all options clearly so you can make an informed decision about your orthodontic treatment. A free 20-minute consultation is available to discuss your suitability and treatment plan.

After treatment, retainers are recommended to help maintain your new tooth position and alignment. Regular reviews allow us to monitor your results and support long-term stability and oral health.

Invisalign works using a series of custom-made aligners, each designed to apply controlled pressure to your teeth. As you change aligners regularly, your teeth move gradually into alignment based on a digitally planned treatment sequence.

Yes, Invisalign aligners are removable and designed to fit into daily life, allowing you to eat, drink and maintain your oral hygiene as normal. Most patients find them comfortable and easy to manage alongside work and social activities.

Yes, a clinical assessment and consultation is required to check your bite, tooth position and suitability. At our clinic, we offer a free 20-minute Invisalign consultation, where we assess your smile, explain your options and outline expected results before you decide to proceed.

Visit a Clinic Near You

Visit our clinic for Invisalign treatment, with a careful assessment, a tailored plan to suit your alignment needs, and a free 20-minute consultation.

Stotfold Dental Clinic

Phone
Opening times
Monday to Friday
8am – 5pm
Closed for lunch between 1:00pm - 2:00pm
Saturday and Sunday: Closed
social media

Shefford Dental Clinic

Phone
Opening times
Monday to Wednesday
8am – 8pm
Tuesdays and Thursdays: 9am – 6pm
(Closed for lunch between 1:30pm and 2:30pm on these days)
Fridays: 9am – 4pm
(Closed for lunch: 1:30pm – 2pm)
social media

Melbourn Dental Clinic

Phone
Opening times
Monday to Friday
9am – 6pm
Closed for lunch 1:00pm-2:00pm daily
Closed Saturdays and Sundays
social media

Book online

Securely book your appointment online at a time that suits you.

Have a question?

Our team will be happy to help.

Make an Enquiry
circle arrow