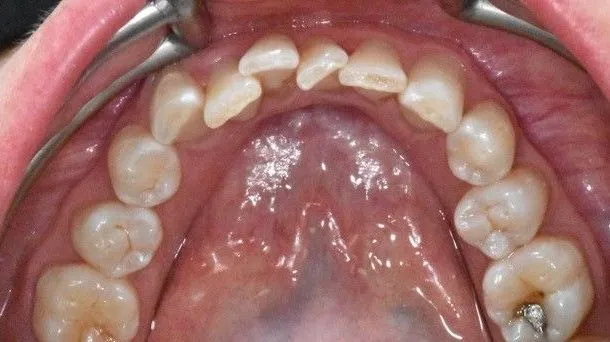
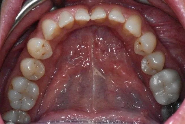
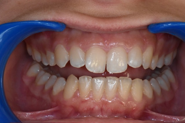
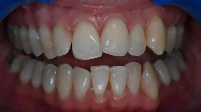
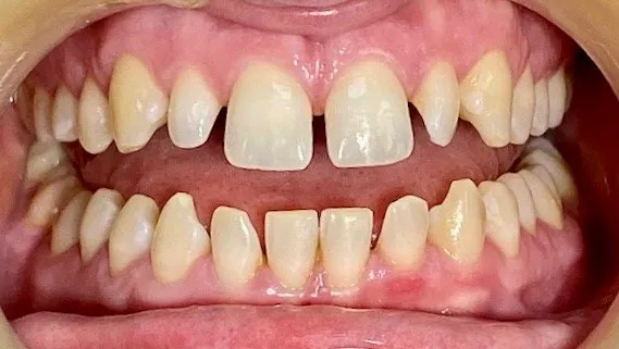
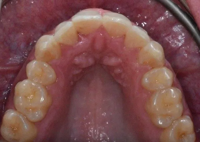
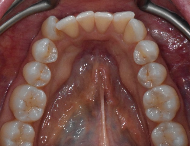
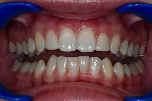
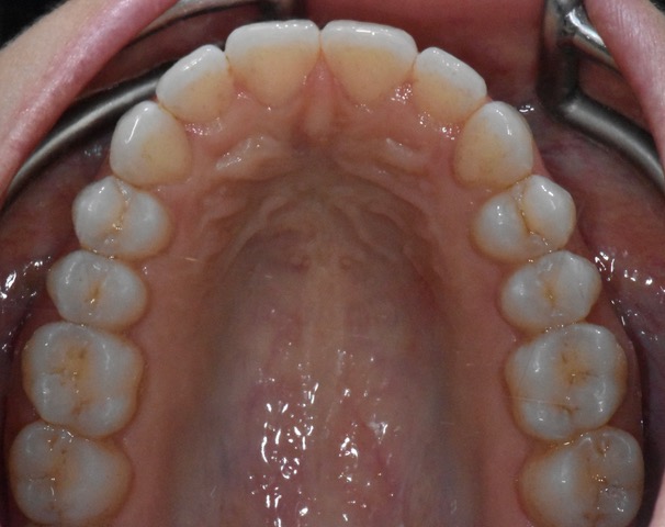
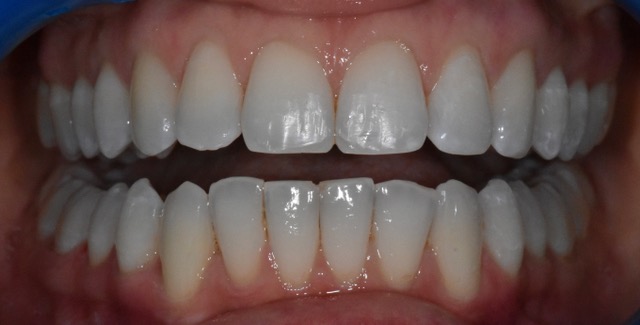
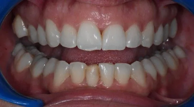
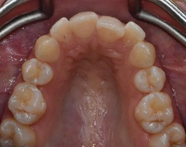
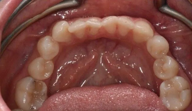
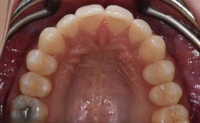
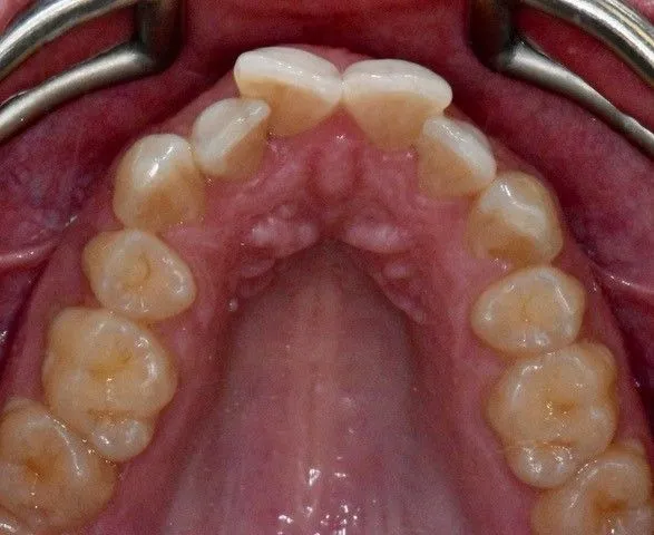
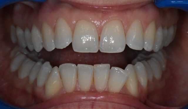
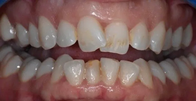
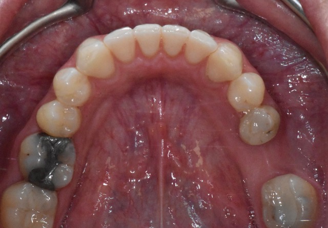
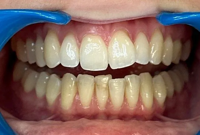
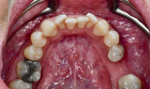
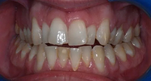
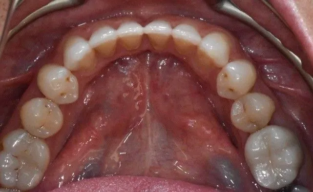
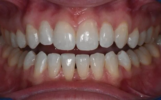
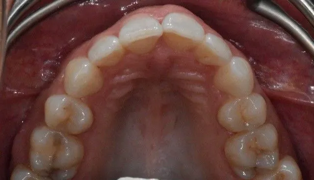
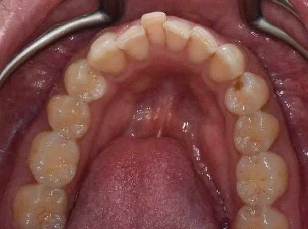
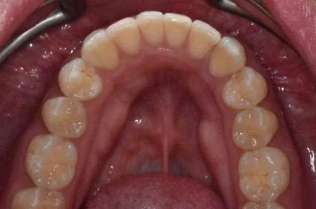
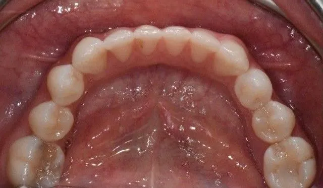
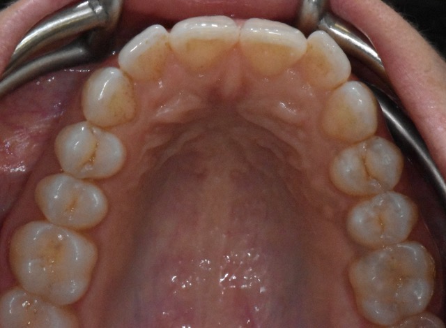
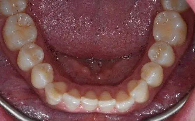
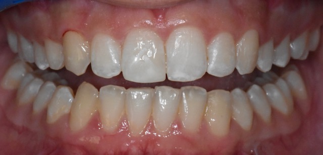
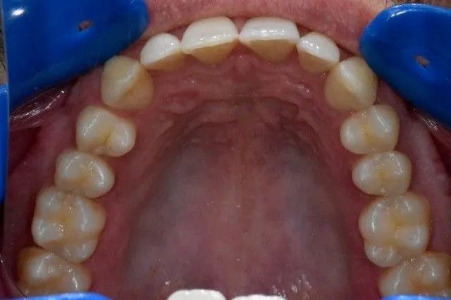
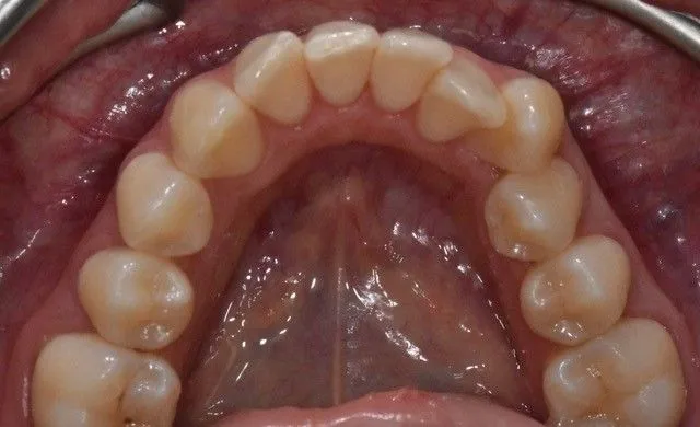
Invisalign Before & After Results

Invisalign Success Stories

Serving Hertfordshire, Bedfordshire and Home Counties.

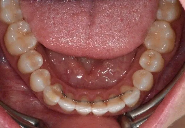
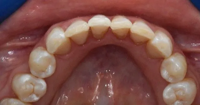
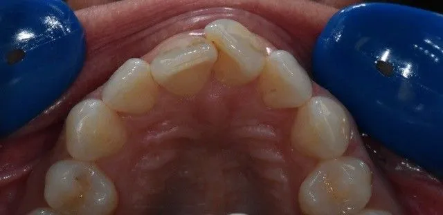
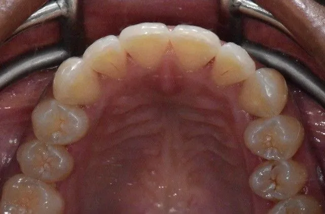
Real patient results from Invisalign clear aligner treatment at Stotfold Dental Clinic. Explore before and after cases showing how discreet orthodontic treatment has straightened smiles, improved bite alignment, and boosted confidence.

Google Rating

5.0

Invisalign Before & After Results

Clear aligner results from real Invisalign patients.

What our patients say

Honest feedback from patients across Stotfold, Shefford and Melbourn.

Take the first step towards a confident smile

Whether you’re exploring cosmetic dentistry or looking for a new dentist, our team is here to help. Book an appointment today and feel confident about your dental care.

Take the first step towards a confident smile

Whether you’re exploring cosmetic dentistry or looking for a new dentist, our team is here to help. Book an appointment today and feel confident about your dental care.

Meet the team

Our friendly dental team brings extensive experience and a genuine passion for patient care. We focus on making every visit comfortable, informative and tailored to your individual needs.

All our dentists are registered with the General Dental Council (GDC) and adhere to the standards governing the profession as set out in the GDC’s Standards for the Dental Team.

For concerns about a dental professional’s fitness to practise, contact the General Dental Council at www.gdc-uk.org.

Step inside our clinic

5 The Avenue Hitchin, SG5 4LY

Contact us

Phone
Address

5 The Avenue, Hitchin, Hertfordshire SG5 4LY

Opening times
Monday to Friday

8am – 5pm

Closed for lunch between 1:00pm - 2:00pm
Saturday and Sunday: Closed
social media

Your Questions Answered

Clear, honest answers to help you feel confident about your visit.

Yes. All images shown are real patients treated with Invisalign at Stotfold Dental Clinic. Each case represents an actual outcome achieved under dentist-led orthodontic care. Individual results will vary depending on starting position, bite alignment and treatment compliance.

Every smile is unique, so results will differ from patient to patient. The before and after images shown demonstrate a range of outcomes across different case types, from mild crowding to more complex alignment issues. During your consultation, your dentist will explain what results are realistically achievable for you.

Treatment times vary depending on the complexity of the case. Some patients see noticeable improvements within a few months, while others require a longer course of aligners to reach their final result. Each Invisalign plan is tailored individually.

Yes. Invisalign gradually moves teeth into position, creating a natural-looking result rather than an artificial or overcorrected appearance. The aim is to improve alignment while maintaining the natural shape and character of your smile.

Make an Enquiry
circle arrow