Dental Implants Before & After Results

Dental Implant Success Stories

Serving Hertfordshire, Bedfordshire and Home Counties.

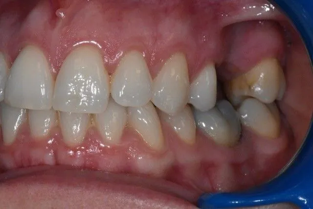
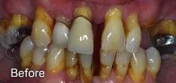
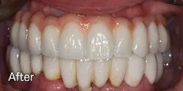
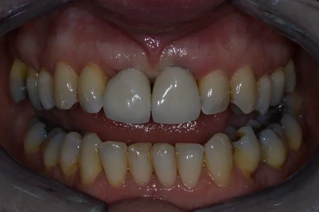
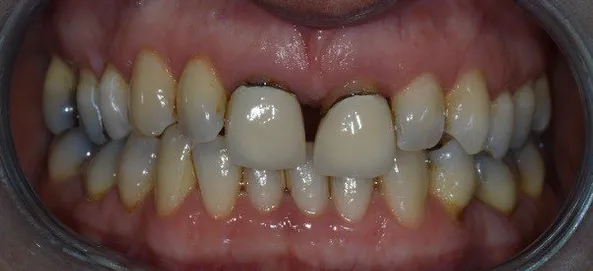
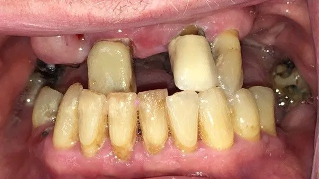
Real patient results from dental implant treatment at Stotfold Dental Clinic. Explore before and after cases showing how missing teeth have been replaced with secure, natural-looking implants tailored to each smile.

Google Rating

5.0

Stotfold Welcome

Dental Implant Before & After Gallery

What our patients say

Honest feedback from patients across Stotfold, Shefford and Melbourn.

Take the first step towards a confident smile

Whether you’re exploring cosmetic dentistry or looking for a new dentist, our team is here to help. Book an appointment today and feel confident about your dental care.

Take the first step towards a confident smile

Whether you’re exploring cosmetic dentistry or looking for a new dentist, our team is here to help. Book an appointment today and feel confident about your dental care.

Meet the team

Our friendly dental team brings extensive experience and a genuine passion for patient care. We focus on making every visit comfortable, informative and tailored to your individual needs.

All our dentists are registered with the General Dental Council (GDC) and adhere to the standards governing the profession as set out in the GDC’s Standards for the Dental Team.

For concerns about a dental professional’s fitness to practise, contact the General Dental Council at www.gdc-uk.org.

Step inside our clinic

5 The Avenue Hitchin, SG5 4LY

Contact us

Phone
Address

5 The Avenue, Hitchin, Hertfordshire SG5 4LY

Opening times
Monday to Friday

8am – 5pm

Closed for lunch between 1:00pm - 2:00pm
Saturday and Sunday: Closed
social media

Your Questions Answered

Clear, honest answers to help you feel confident about your visit.

Yes. All images shown are real cases treated by our clinical team. Results vary from patient to patient, but every case reflects genuine outcomes achieved through professionally planned implant treatment.

Dental implant treatment times vary depending on the individual case. Some patients see visible improvements within weeks, while others require several months to allow for healing before the final restoration is placed.

Yes. Dental implants are designed to closely match the shape, colour and function of natural teeth. Treatment is carefully planned to ensure a natural-looking result that blends seamlessly with your smile.

Most adults are suitable for dental implants, but suitability depends on factors such as oral health, bone levels and medical history. A consultation is required to confirm whether implant treatment is right for you.

Make an Enquiry
circle arrow